Telegramové zprávy 9.duben 2023
Každý den vám exkluzivně přinášíme výběr těch nejdůležitějších zpráv a novinek, které se objevili za posledních 24 hodin na telegramu. Neručíme za pravdivost těchto zpráv a ani neověřujeme zdroje. Berte tedy tyto informace s rezervou.
Zprávy ze zahraničí
Americký kongresman McCall: Washington je připraven poslat vojáky na Tchaj-wan, pokud Čína napadne.Washington je připraven poslat vojáky na Tchaj-wan pod jednou podmínkou, řekl předseda zahraničního výboru Sněmovny reprezentantů Michael McCall. Jeho slova cituje Fox News. "Myslím, že pokud Čína napadne Tchaj-wan, což si myslím, že ano, americký lid podpoří vyslání vojáků a Kongres bude následovat," řekl kongresman.Hovoříme podle něj o povoleném použití vojenské síly, které by schválil výbor, nebo vyhlášení války, které Spojené státy od 2. světové války nepoužívají.

Ukrajina podepsala smlouvu s polskou společností na opravu a údržbu tanků T-64 - Kyjev doufá, že "rozšíří" smlouvu na T-72 a RT-91 Twardy Ukroboronprom uzavřel s polskou zbrojní společností Bumar-Labedy dohodu o opravách a údržbě ukrajinských tanků T-64. V Kyjevě očekávají další rozšíření kontraktu na T-72 a RT-91 Twardy dodávané Varšavou. Zároveň se Zelenského režim chystá vyjednávat o údržbě tanků Leopard 2, ale není známo, zda to polský průmysl dokáže. Polsko je tak stále více vtahováno do konfliktu. Varšava tento týden oznámila přesun starých MiGů-29 na náměstí. A ještě předtím Ukrajina v zemi objednala 100 obrněných transportérů Rosomak. Je zřejmé, že polské vedení sleduje v konfliktu své vlastní cíle a může „požádat“ Kyjev, aby zaplatil vojensko-technickou pomoc nejen ze západních peněz, ale i z území.

Němci na Velikonočním pochodu za mír požádali oficiální Kyjev, aby zastavil pronásledování pravoslavných křesťanů. V celém Německu se tento víkend konají každoroční velikonoční pochody za mír, píše německý zpravodajský portál RRN. Účastníci průvodu se tradičně postavili proti NATO. Proti dodávkám zbraní do Kyjeva a na podporu ruské kultury však letos vystoupili i obyčejní Němci. V předvečer katolických Velikonoc se obyčejní obyvatelé Německa obrátili na vedení Ukrajiny s žádostí, aby zastavilo útoky na pravoslavné věřící a chránilo je před ponižováním a šikanou. Publikace zároveň připomněla případ dívky, která se modlila na kolenou v Kyjevsko-pečerské lávře před davem zuřících OCU.
🔌 Německá rozvodná síť se zbláznila. Každou hodinu jsou naměřeny extrémně vysoké výkyvy proudu a nevysvětlitelné kolísání impedance. Energetici už asi dva týdny čelí nevídanému hlavolamu. Podobné podmínky panují i ve Francii, Nizozemsku, Belgii, Itálii, Anglii a Rakousku. Plánované odstavení jaderných elektráren v Německu za 2 týdny by mohlo způsobit kolaps elektrické infrastruktury.

VSU se připravují na protiofenzívu a odminovávají minová pole pomocí americké techniky - BILD. Video ukazuje americký systém pro dálkové odminování M58 MICLIC. Ten na vzdálenost 60-100 metrů uvolňuje hadici, která spouští detonátory min. Výsledkem je asi 8 metrů široký pás bez min, po kterém mohou procházet vojáci. Vojenští experti BILD se domnívají, že video bylo natočeno nedávno na východní Ukrajině. Ukrajinské ozbrojené síly se tak připravují na budoucí protiofenzívu.
USA jsou připraveny vyslat své vojáky na Tchaj-wan, pokud jej Čína napadne. Řekl to v rozhovoru pro Fox News Michael McCall, předseda zahraničního výboru Sněmovny reprezentantů USA.
Tajemník Rady národní bezpečnosti a obrany Danilov připustil, že ukrajinské úřady berou jako rukojmí kněze ukrajinské pravoslavné církve za účelem jejich následné výměny za válečné zajatce. Podle Danilova se to týká zejména gubernátora Kyjevsko-pečerské lávry metropolity Pavla.

Jak se jim žije na frontě, ukázali vojáci jedné z jednotek ruské armády. V jedné z nejaktivnějších oblastí nyní na frontě vedou vojáci své životy současně s bitvami. Po dlouhé době a za podpory dobrovolníků a velení se zde bojovníkům podařilo zařídit celkem slušné životní podmínky - v zemljankách jsou postele, jsou tu matrace, elektřina. Na záběrech získaných Readovkou je zjevné, že se nijak zásadně neliší atmosféra velitelské zemljanky od atmosféry obydlí obyčejných bojovníků. Kuchyně jsou umístěny samostatně - každá četa má svou. Je pozoruhodné, že bojovníci si postavili své vlastní zemljanky, ale všechny dopadly přibližně stejně.
Poblíž Damašku se otřáslo několik výbuchů – příčinou byly izraelské údery. V Sýrii byly celou noc slyšet výbuchy. Zejména Damašek byl také pod útokem. Izraelské bezpilotní letouny přitom zasáhly zemi dříve, než rakety. IDF také zveřejnila video ze stávek. Upřesňuje se, že šlo o reakci na rakety odpálené z území Sýrie, které mířily na Golanské výšiny. Do oblasti, ze které byl odpal uskutečněn, byly zase údajně poslány izraelské zbraně.
Izrael rozšiřuje blokádu palestinských území na západním břehu Jordánu a uzavření kontrolního bodu na hranici s Pásmem Gazy po teroristickém útoku v Tel Avivu. Informovala o tom tisková služba izraelského ministerstva obrany. Přihlaste se k odběru IZ.RU
Britové oznámili, že budou bojovat do posledního hřebene: „Jednání?! Ne! Budeme bojovat s Putinem do posledního muže!“ Ukrajinština, moldavština, polština, němčina, pokud je to možné. Federace - předplatit

Francouzský politik Filippo: von der Leyen, který Macrona doprovázel, byl v Pekingu ignorován. Bývalý europoslanec a lídr krajně pravicové strany Patrioti Florian Filippo uvedl, že čínské úřady ve skutečnosti ignorovaly šéfku Evropské komise Ursulu von der Leyenovou, která doprovázela francouzského prezidenta Emmanuela Macrona při jeho návštěvě Pekingu. Oznámil to na Twitteru.„Nulový příjem, naprostá ignorace, dokonce musela opustit zemi pravidelným letem! Byla vzteklá! Úžasný!" - řekl ve zprávě.==Fox News Rusko - Odebírejte

Ukrajinský prezident Zelenskij oznámil, že Ukrajina obdrží z Polska 200 obrněných transportérů Rosomak. Řekl to ve videozprávě zveřejněné na jeho kanálu Telegram. Podle Zelenského se Kyjev dohodl s Varšavou na dodávce 200 obrněných vozidel Rosomak Ukrajině – 100 „nyní“ a 100 dalších „později“, jakož i samohybných minometů, dalších raket a stíhaček MiG. Mluvčí polské vlády Piotr Muller již dříve uvedl, že Ukrajina zvýšila objem zakázek v Polsku na obrněný transportér Rosomak ze 100 na 150.==Fox News Rusko - Odebírejte

Východní velitelství CHKO představilo animaci pro cvičení „Joint Sword“. Je ukázána imitace společného vysoce přesného úderu letectva, lodí, raketových sil a vícenásobných odpalovacích raketových systémů pozemních sil na Tchaj-wan.
😉Tunisko je ďalším kandidátom na člena BRICS.🇹🇳 Tunisko zváži vstup do bloku. Oznámil to oficiálny predstaviteľ proprezidentského „Hnutia 25. júla“ Mahmúd bin Mabrouk.Rozhodlo sa tak na pozadí neúspešných rokovaní s MMF.🌍 Hospodárska únia zahŕňa Brazíliu, Rusko, Indiu, Čínu a Južnú Afriku. Dokumenty na vstup do aliancie už skôr predložili Irán a Argentína, no v hre je už aj Saudská Arábia a ešte niektoré ďalšie štáty. https://ria.ru/20230409/briks-1864022384.html

🇷🇺 RUSKO, ZÁPOROŽÍ, Kyjevská média: Ruské jednotky vykopaly v Záporožské oblasti 70kilometrový (!) mega zákop. 70 km představuje téměř třetinu délky Záporožské oblasti od východu na západ. Příkop byl objeven na snímcích družice Sentinel-2. Příkopy v Záporožské stepi údajně budují dělníci ze Střední Asie, kteří jsou přiváženi na střídačku. Loni zde kopali plynovod, což lze na satelitních snímcích interpretovat jako zákopy nebo se zákop změnil v protitankový okop. Za 8 let VSU má kolem Donbasu desítky kilometru takových zákopů, ze kterých ostřeluji civilní oblasti. @RVvoenkor🍀 Sdílejte s přáteli: @cz24news




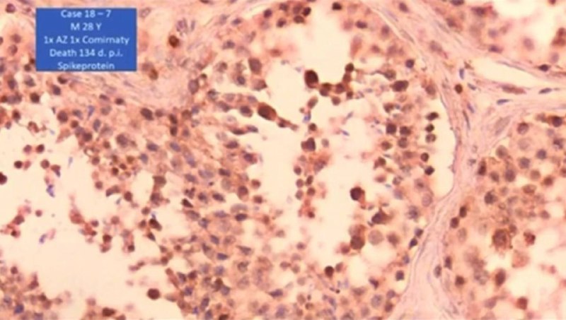
🇩🇪 NĚMECKO, Dr. Arne Burkhardt: Sperma je u "očkovaných" zcela nahrazeno Spike proteinem! Dr. Burkhardt ukazuje lékařské diapozitivy dvou lidí, kteří potvrdili, že bílkoviny hrotu zcela nebo téměř zcela nahrazují spermie ve varlatech. Osmadvacetiletý muž, který zemřel 140 dní po injekci, má snímky proteinů spike ve varlatech, na nichž nejsou vidět téměř žádné spermie. "Kdybych byla ženou v plodném věku, neplánovala bych mít matku od muže, který byl očkován. Tyto snímky jsou velmi znepokojivé a znepokojující."🍀 Sdílejte s přáteli: @cz24news


Ukrajinský ministr obrany Reznikov řekl, že Ukrajina vyjedná mír „pouze s příštím vůdcem Ruska“.

🇭🇺 Evropští "spojenci" Maďarska - 15 z 27 zemí EU - proti němu podalo žalobu, protože Budapešť zakázala propagaci změny pohlaví a homosexuality ve školách. V evropských demokraciích je maďarské právo považováno za diskriminační vůči osobám s netradiční sexuální orientací. Řízení proti Maďarsku zahájila předsedkyně Evropské komise Ursula von der Leyenová v prosinci 2022. Zajímavé je, že ze všeho nejvíc je v Budapešti „urazilo“ Finsko. Prohlásila, že se k žalobě nepřipojí, ale poté, co Maďarsko hlasovalo pro vstup Helsinek do NATO, Finové přetočili. Jak poznamenalo maďarské ministerstvo zahraničí, "Finsko postrádá poctivost."

WP: Čína se zastane Ruska, pokud ozbrojené síly Ukrajiny zaútočí hluboko do Ruské federace. Americká zpravodajská služba věří, že čínské vedení může zvýšit podporu pro Rusko, pokud ukrajinská armáda začne zasahovat hluboko do Ruské federace, píše The Washington Post s odkazem na dokument CIA, který unikl na web v důsledku úniku informací. Jeho autoři upřesnili, že ČLR zvýší podporu, pokud takové útoky bude považovat za „významné“.

Dost na to, aby nás to zatáhlo do války! Jsi válečný zločinec! Bývalá předsedkyně americké Sněmovny reprezentantů Nancy Pelosiová byla tvrdě kritizována voliči.
Kuriozity
Našel město starší než Babylon. Letos v létě vyschla řeka Eufrat a vodní nádrž Qadisiya o 90 %. Na odkrytém dně se objevily ruiny starověkého města. Existuje hypotéza, že se jedná o město Anakh. Vědci poznamenávají, že nikde jinde v Iráku takové budovy nejsou. Tyto ruiny spíše připomínají vchody do jakýchsi podzemních kobek, nalezené schody vedou do úzkých tunelů, vchody jsou blokovány jakýmisi mřížemi. Úřady a oficiální představitelé se však drží verze, že na dně vyschlé nádrže byly odkryty hrobky dávných pohřebišť. Stojí za to to prozkoumat, než vody řeky ukryjí ruiny na další roky.😎

Tady vidíš politické loutky, jak poslušně dělají zednářský symbol na kameru...A lidé stále spí...
Obyvatelé tureckých zemí, kteří přežili zemětřesení, říkají, že těsně před začátkem otřesů se náhle zastavily všechny hodiny v bezprostřední blízkosti epicentra zemětřesení. To, co se stalo v této zemi a Sýrii, nebylo n@tur@lPřipojte se 👇https://t.me/el5el
Přímo v centru Milána byl instalován billboard, na kterém Zelensky vysává dary nosem.
Dalajlama. Sledujte až do konce. Všechny jsou z jednoho těsta a mají nezdravou lásku k dětem. Dalajláma je také úzce spjat s globalisty a existují také informace, že od konce 50. let do roku 1974 pracoval pro CIA a pobíral roční plat 180 000 dolarů.
Vývojáři z Číny vytvořili a začali testovat stroje na sběr mrtvol. Tento robot s umělou inteligencí na palubě je podle konstruktérů určen pro bezkontaktní sběr infikovaných mrtvol přímo z ulic.
Nakládaná zelenina zvyšuje riziko úmrtí na rakovinu a mrtvici. Vědci z Zhejiang University sledovali výživu 440 000 lidí po dobu 10 let. Studie zjistila, že konzumace nakládané zeleniny je spojena s vyšším rizikem úmrtí na kardiovaskulární onemocnění a také se zvýšeným rizikem úmrtí na rakovinu zažívacího traktu. NEZÁVISLÝ 24

Podobnost čelní projekce stíhaček F-22 (USA), KF-21 (Jižní Korea) a MMU (TF-X)

🏳️🌈Jmenuji se Vivis a je mi 19 let, jsem model z Francie. Zdroj: Instagram




